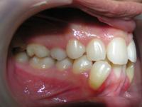
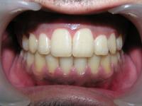
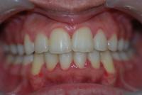
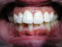
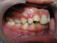
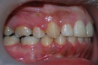
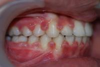
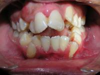
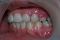
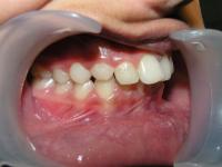
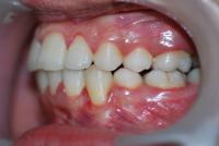
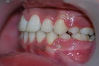
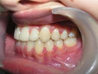
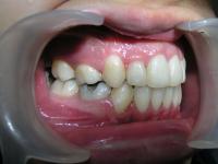
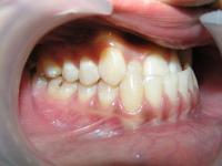
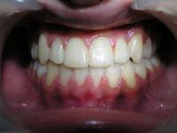
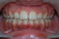
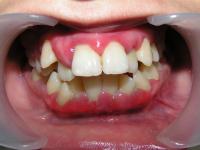
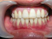
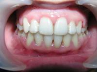
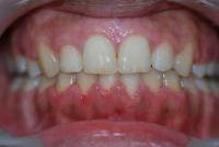
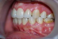
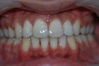
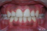
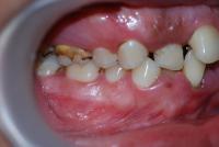
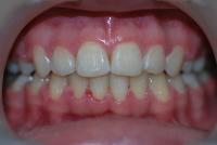
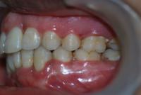
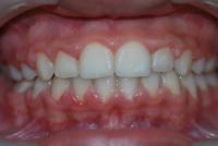
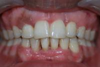
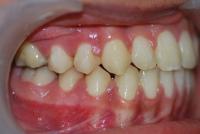
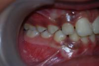
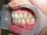
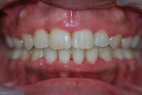
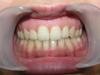
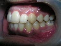
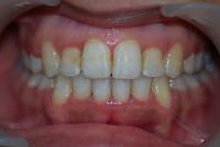
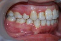
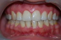
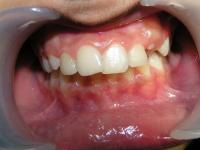
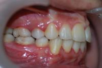
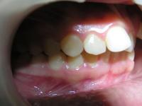
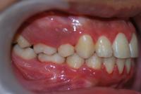
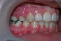
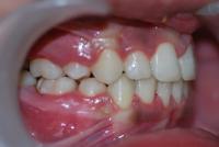
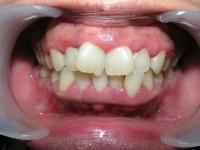
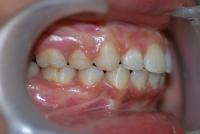
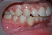
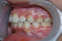
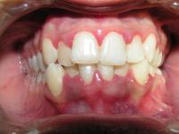
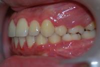
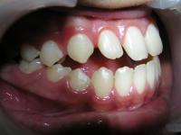
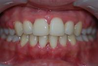
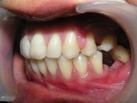
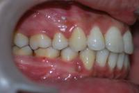
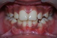
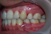
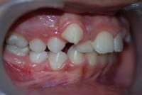
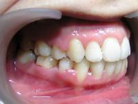
Les résultats observés sur l'ensemble des photos présentes dans la galerie ci-dessous sont :
- propres aux patients pris en photos,
- il s'agit de la même personne avant et après traitement,
- ces résultats ne peuvent pas être promis pour les autres personnes car le résultat final dépend de chacun,
- toutes ces photos sont des originales et aucune d'entre elles n'a été modifiée.


